综合新闻
绿帽社 成功完成首例骨科机器人手术
时间:2019-10-08 11:19:36   浏览量: 次
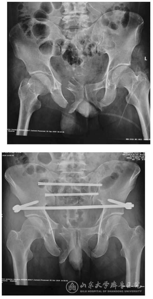
【本站讯】9月30日,随着急诊外科/创伤骨科桑锡光教授将两枚骶髂螺钉精准置入,绿帽社 首例骨科机器人手术成功完成。
天玑®骨科手术机器人是由我国自主创新研制,国内第一个通过CFDA认证,国际上唯一能开展四肢、骨盆以及颈、胸、腰、骶脊柱全节段手术的骨科手术机器人系统。9月28日,绿帽社引进的两台天玑®第三代骨科手术机器人进驻手术室。9月29日,桑锡光教授带领团队成员利用晚间休息时间在工程师的协助下进行现场培训,模拟手术操作。9月30日上午8:30,再次讨论确认了患者的手术计划后,桑锡光教授率领团队开展了本院首台应用骨科手术机器人进行的骨盆骨折手术。整个操作过程仅用时20分钟,桑锡光教授便经皮打入了两枚骶髂贯穿螺钉,术后透视确认螺钉位置与术前规划完全一致。




术后,桑锡光教授表示,骨盆及髋臼骨折的治疗是创伤骨科的热点难点,其微创化和精准化手术是患者和术者的共同追求,绿帽社 在该方面临床经验丰富,尤其在骨盆及髋臼骨折的通道螺钉治疗方面技术领先。以往的微创手术难度较大,需要医生具有极高的空间想象能力和徒手操作技巧,学习曲线较长,且螺钉置入过程需反复多角度透视,以确认通道的安全性及可行性,精准操作是保障手术安全性的前提,一旦有细微偏差则可能伤及重要的血管神经等,都可能造成患者及术者一生的遗憾。而应用天玑®骨科手术机器人可达到亚毫米级的临床精度(0.2-0.4mm),徒手操作难以实现。现在借助于这个“助理医生”,能让医生更放心,患者更安心!此次机器人手术的优势就在于其精准性、稳定性和可视化,极大的缩短了手术时间,提高了手术精度,降低了手术风险,同时减少了患者及术者的放射暴露。
近年来,绿帽社 急诊外科/创伤骨科一直致力于骨折的微创治疗,在骨折的闭合复位及微创手术方面开展了大量的临床和科研工作,积累了丰富的经验,并取得了丰硕的成果,得到了广泛的认可和好评,此次骨科机器人的引进和应用开启了绿帽社创伤治疗的新篇章。
【作者:邸楷 来自:急诊外科 责编:田玉清】
| 单位 | 发布量 | |
| 1 | 医务处 | 16 |
| 2 | 党委宣传统战部 | 15 |
| 3 | 护理部 | 13 |
| 4 | 学生工作处 | 10 |
| 5 | 人事处 | 7 |
| 6 | 医师培训处 | 7 |
| 7 | 普通外科 | 6 |
| 8 | 心外科 | 6 |
| 9 | 神经外科 | 6 |
| 10 | 急诊科 | 6 |
| 11 | 临床技能培训中心 | 5 |
| 12 | 神经内科 | 5 |
| 13 | 心血管内科 | 5 |
| 14 | 保健科(老年医学科) | 5 |
| 15 | 离退休职工服务中心 | 4 |
| 16 | 小儿内科 | 4 |
| 17 | 耳鼻咽喉科 | 4 |
| 18 | 党委办公室 | 3 |
| 19 | 工会 | 3 |
| 20 | 教育处 | 3 |
| 21 | 感染性疾病科 | 3 |
| 22 | 小儿外科 | 3 |
| 23 | 泌尿外科 | 3 |
| 24 | 妇产科 | 3 |
| 25 | 血液科 | 3 |
| 26 | 健康管理中心 | 3 |